
همه چیز درباره بیوپسی ریه از صفر تا صد
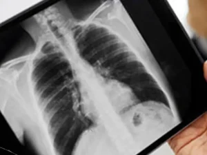
تا به حال پزشک برای تشخیص دقیق بیماری های ریوی، به شما انجام نمونه برداری از ریه را پیشنهاد داده است؟ این روش، یکی از

تا به حال پزشک برای تشخیص دقیق بیماری های ریوی، به شما انجام نمونه برداری از ریه را پیشنهاد داده است؟ این روش، یکی از

نمونه برداری از کلیه یکی از روش های دقیق و کم تهاجمی پزشکی است که به پزشکان کمک میکند تا علت اصلی مشکلات کلیوی را

تا به حال از خود پرسیدهاید که پزشک ها چگونه بدون عمل جراحی بزرگ، وضعیت سلامت کبد را با دقت بالا بررسی میکنند؟ نمونه برداری

استنت گذاری مجاری صفراوی به منظور برطرف کردن انسداد مجاری صفرا مورد استفاده قرار میگیرد و از آنجایی که مسدود شدن مجاری صفراوی علائم گوناگونی

سوزاندن تومورهای کبدی با RF، یک روش کمتهاجمی برای از بین بردن سلولهای سرطانی در کبد است که در این روش، با وارد کردن یک

آمبولیزاسیون شریان چپ معده یک روش نوین در درمان چاقی است که برای کاهش وزن در برخی بیماران مورد استفاده قرار میگیرد، این روش از

آمبولیزاسیون همانژیوم کبد روشی جدید و موثر در درمان تودههای خوشخیم کبدی به شمار میرود و این تکنیک با هدف مسدود کردن عروق خونی تغذیهکننده

درمان متاستاز کبدی با امواج مایکروویو یکی از روشهای نوین و کمتهاجمی است که برای درمان سرطانهای کبدی و متاستاتیک استفاده میشود. این روش با

کله سیستوستومی یک روش جراحی کم تهاجمی برای تخلیه کیسه صفرا است که اصولا در بیمارانی با التهاب حاد کیسه صفرا (کُلهسیستیت) انجام میشود، به

نفروستومی یک روش پزشکی است که در آن یک لوله از طریق پوست به کلیه وارد میشود تا تخلیه ادرار از کلیه به خارج از

درمان خونریزی گوارشی به روش امبولیزاسیون یکی از روشهای نوین و مؤثر در مدیریت خونریزیهای غیرقابل کنترل در دستگاه گوارش است. این روش بهویژه در

معرفی بیمار بيمار معرفي شده خانم ميانسال با ندول بزرگ لوب چپ تيروييد با پاتولوژي benign ميباشد كه با بي حسي موضعي و mild sedation